Primjene racunarske grafike


SAZETAK: Razmotreni su postupci uzorkovanja trodimenzionalnih podataka, te njihova daljnja obrada. Dobiveni podaci mogu se vizualizirati na razne nacine: prikazom poprecnih presjeka, njihovom animacijom, prikazom kontura ili prikazom trodimenzionalnih restauriranih objekata. Na osnovi uzorkovanih podataka dobivenih raznim metodama kao sto su racunarska tomografija (CT), magnetska rezonancija (MR), restaurirani su i prikazani trodimenzionalni objekti. Objekti koji se uzorkuju mogu biti razni objekti bilo iz podrucja medicine, strojarstva ili nekog drugog podrucja.
KLJUCNE RIJECI: racunarska grafika, vizualizacija, prikaz volumena.

ABSTRACT: Several methods for the threedimensional data acquisition are discussed, and further harnessing of that data. Input data can be used in the visualization in different ways: using the cross sections, animation of the cross sections, using geometric primitives, or threedimensional reconstruction of the data set. The input data samples may be achieved with different methods as computed tomography (CT) or magnetic resonance (MR). According those input data samples, threedimensional objects may be reconstructed and render. Objects that are used can be objets from different fields of science like medicine or engineering.
KEY WORDS: computer graphics, visualization, volume rendering.

1. Uvod

Napredak raznih naucnih disciplina postavlja sve slozenije probleme, slozenije matematicke modele i simulacije. Zahtjevi na graficki prikaz takodjer postaju sve slozeniji. Predocavanje trodimenzionalnih (3D) objekata u racunarskoj grafici predstavlja jedan od njenih najznacajnijih zadataka. 3D objekti nas okruzuju, te nam njihov prikaz daje optimalnu kolicinu informacije koju smo vjesti brzo prihvatiti i protumaciti. U takav prikaz objekta, tekstura i mogucnost animacije, unose dodatno bogatstvo informacije.
Objekti ciji prikaz zelimo postici mogu biti stvarni objekti, modeli ili skup podataka koji zelimo predstaviti u 3D prostoru. 3D objekti su najcesce predstavljeni povrsinama koje cine vanjski plast objekta. Te povrsine se mogu na razne nacine predociti na zaslonu. Ako promatramo krivulje koje leze na nekoj povrsini, njihova projekcija u 2D prostor docaravat ce zeljeni objekt. Povrsina objekta cesto se aproksimira mrezom poligona koja obuhvaca objekat, te cini zicnu formu uobicajenu u grafickim prikazima. Prikaz slozenih objekata zahtijeva i bojanje poligona kako bi se istaknuli dijelovi objekta ili razni objekti. Zamisljanjem izvora svjetlosti koji ce na objektu stvoriti jace ili slabije osvijetljene dijelove, sjene, plasticnost objekta doci ce do izrazaja, a time raste i kolicina informacije koju nosi prikaz.
Ono sto cini podrucje interesa korisnika je predstavljanje dobivenih podataka metodama kao sto su racunarska tomografija CT ili magnetska rezonancija MR. Bilo da se radi o prikazu mreze koja cini vanjski plast objekta ili prikazu osjencane povrsine, zajednicko je da se definira granicna vrijedost, odnosno prag. Prag odredjuje koji dio prostora cini unutrasnjost (odredjen skup vrijednosti funkcije), a koji vanjstinu objekta koji ce biti prikazan. Bitna cinjenica je da metode koje su razvijene za prikaz 3D podataka nisu ovisne o skali [2], [4], [5], [6]. Na taj nacin sasvim je nevazno da li se prikazuju podaci koji predstavljaju molekule ili podaci dobiveni iz svemira za prikaz crnih rupa. Razlike koje postoje izmedju pojedinih metoda su u kolicini potrebne memorije, brzini rada i efektima koji se postizu.
Metode koje se zasnivaju na popunjavnju geometrijskih primitiva [6], [7], [10], pogodne su za prikaz podataka unutar kojih postoje neke geometrijske cjeline (npr. u medicini), dok za prikaz oblaka, geodezijskih i slicnih rasprsenih podataka nisu pogodne. Zato se u zadnje vrijeme razmatra drugaciji pristup problemu vizualizacije [2], [3], [5]. Metode razvijene u novije vrijeme ostvaruju prikaz objekata tako da se ne formiraju geometrijske primitive. Kod tih metoda nije potrebno usporedjivanje s pragom, cime je izbjegnut bitan problem binarne klasifikacije, tj. da li nesto pripada unutrasnjosti ili ne (na taj nacin i greske koje mogu nastati). Metode koje cine ovu grupu nazvane su metode prikaza volumena (eng. volume rendering).

2. Ulazni podaci

Ulazni podaci za prikaz trodimenzionalnih objekata metodom pokretne kocke ili direktnim prikazom voumena, trebaju biti u obliku ekvidistantne trodimenzionalne mreze. Pojedine tocke te mreze nazivaju se elementi volumena (voxel), po analogiji na slikovne elemente (pixel). Ovakav oblik podataka moze se dobiti na osnovi uobicajenih metoda u medicini. Niz poprecnih presjeka dobivenih pomocu racunarske tomografije CT ili magnetske rezonancije MR ostvarit ce potreban volumen ulaznih podataka.
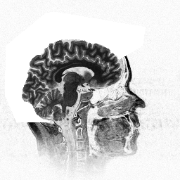
Na slici 1. prikazan je poprecni presjek glave covjeka, dobiven pomocu MR. Ova metoda pogodna je za uzorkovanje jer zracenje nije opasno, no na snimcima zbog fizikalnih razloga nije moguce izdvojiti kostano tkivo, koje je inace vrlo dobro uocljivo na CT snimcima. Na poprecnom presjeku mozemo uociti opcrtan poligon, oko mozga pacjenta, sto je ucinjeno na svim poprecnim presjecima. Izdvajanje poligona ostvareno interaktivnim metodama obrade slike, omogucava vidljivost mozga na konacnom trodimenzionalnom liku.
Na slici 2. prikazan je poprecni presjek stroja. Na ovoj slici moze se uociti postojanje dviju diferencijabilnih sivih razina. Unutrasnjost, gotovo crna predstavlja presjek osovine i prstenova, koji su izradjeni od drugacijeg materijala od samog tijela stroja. Tijelo stroja prikazano je tamno sivom bojom. Prilikom ostvarivanja ulaznih podataka javlja se i sum okoline objekta kojeg je potrebno izdvojiti, sto je u vecini slucajeva moguce ostvariti postavljanjem odgovarajuceg praga.
Podaci koji se koriste u ovom radu dobiveni su preko interneta. Poprecni presjeci potrebni za izradu slike 3 i 4 mogu se naci na ftp serverima, na primjer na ftp.cs.unc.edu u direktoriju /u/projects/softlav.v/CHVRTD/volII pod imenom MRbrain.Z. Iste podatke koriste i drugi autori u svojim radovima [5], tako da se rezultati ovog rada mogu usporediti.
Podaci potrebni za izradu slika 5 i 6 takodjer se nalaze na internetu, no nisu u obliku poprecnih presjeka vec su smjesteni kao cisti podaci unutar jedne datoteke. Ovi podaci mogu se naci na ftp.mei.co.jp u direktoriju free/others/Grefics/volpack pod imenom volpack.1.b2.tar.gz.

Slika1.Poprecni presjek glave.

Slika 2. Poprecni presjek motora.

3. Vizualizacija trodimenzionalnih podataka

Ulazni podaci opisani u prethodnom poglavlju mogu se vizualizirati na razne nacine, no za podatke dobivene u medicini [1], [9] ili strojarsvu najpogodniji je prikaz pomocu metode pokretne kocke [6], [7], [10]. Naime, za ovakove podatke obicno postoji ostra granica izmedju tkiva koje treba prikazati i okoline. Na slici 3 prikazan je rezultat koji se postize povezivanjem poprecnih presjeka u trodimenzionalnom prostoru. Za objekt na slici 3, upotrebljeno je 100 poprecnih presjeka razlucivosti 256x256x8, od kojih je pedeseti prikazan na slici 1. Objekt na slici 4 rezultat je upotrebe istih ulaznih podataka uz vecu vrijednost praga.
Ovakav prikaz objekata u medicini otkriva mnoge mogucnosti za lijecnika [1], [9]. Postojanje tumora ili stranih tijela moguce je efikasno odrediti u trodimenzionalnom prostoru. Na ovakvom modelu planiranje postupaka potrebnih kod slozenih operativnih zahvata vrlo je efikasno. Planiranje zracenja tumora takodjer je pogodno, jer je precizno moguce odrediti smjer i dubinu zracenja tako da se ne ostete vitalni dijelovi kao sto su krvotok i sustav zivaca. Za odredjeni tip tkiva omedjen plohom moguce je izracunati volumen koji on zaokuplja, sto je bitno kod stvaranja kostanih implementata za postupke planiranja i proracuna u kirurgiji [9].
Na slici 5 prikazan je motor nacinjen na osnovi 110 poprecnih presjeka razlucivisti 256x256x8, od kojih je jedanaesti prikazan na slici 2. Vrijednost praga za ovu sliku je 48. Uz drugu, vecu vrijednost praga otkriva se unutrasnjost motora, koja je izgradjena od druge vrste materijala. Na slici 6 ostvaren je prikaz na osnovi istih ulaznih podataka uz vrijednost praga 180. Ovakvo odredjivene unutrasnjosti moguce je samo ako na objektu koji se uzorkuje postoje razliciti tipovi materijala, a koji u postupaku kojim se uzorkuju, npr CT, daju razlicite sive razine u rezultirajucim poprecnim presjecima. Na slici 2 ova razlika u sivim razinama je uocljiva, sto omogucava izdvajanje unutrasnjih dijelova prikazanih na slici 6.
Trodimenzionalni prikaz objekata u strojarstvu takodjer predstavlja znacajnu pomoc kod postupaka projektiranja, analize i simuliranja. CT snimci strojarskih dijelova mogu otkriti unutrasnje kavitete koji izvan samog objekta nisu vidljivi. Otkrivanje nekih unutrasnjih nedostataka ili kvarova neke masine takodjer je moguce bez rastavljanja samog stroja. Uzorkovanje gotovih modela, njihovo dopunjavanje, izmjene i ponova izrada, takodjer predstavljaju znacajno podrucje upotrebe. 3.1. Metoda pokretne kocke
Prilikom prikaza podataka iz podrucja medicine i strojarstva, u ovom radu, upotrebljena je metoda pokretne kocke. Za sjencanje poligona koristen je Gouraudov postupak sjencanja. Osnovnu ideju metode pokretne kocke predlozili su Lorensen i Cline [6], dok su implementacija, problemi i nedostatci razradjeni u [7], [8] i [10].
Metoda pokretne kocke zasnovana je na prolasku kocke kroz volumen ulaznih podataka. Za svaki polozaj kocke, tako da njezine vrhove cine uzorkovani ulazni podaci, definira se povrsina izmedju unutrasnjih i vanjskih vrijedosti. Prag je vrijednost koja odredjuje unutrasnjost, odnosno vanjstinu objekta. Ploha za svaki polozaj kocke definirana je trokutima, a konacan rezultat je povrsina konacnog objekta sacinjena od trokuta.
Obzirom na vrijednost praga svaki vrh kocke moze biti definiran tako da pripada unutrasnjosti objekta ili ne, pa stoga postoji 256 slucajeva. Za svaki od tih slucajeva nacinjen je putem tablice, raspored vrhova trokuta koji pripadaju doticnom slucaju. U izvorno zamisljnoj metodi postoje nejednoznacni slucajevi koje je dodatno potrebno ispitati preko drugih tablica, kako konacan objekt ne bi sadrzavao supljine.

Slika 3. Na osnovi poprecnih presjeka dovbivenih pomocu MR, nacinjen je trodimenzionalni objekt.

Slika 4. Objekt prikazan na slici 3 uz vecu vrijednost praga koji definira unutrasnjost objekta.

4. Zakljucak

Prikazana je izrada trodimenzionalnih objekata na osnovi poprecnih presjeka. Ovakav oblik prikaza objekata vrlo je znacajan ne samo u medicini i strojarstvu, vec i u drugim podrucjima znanosti. U meteoroligiji se na ovaj nacin mogu vizualizirati atmosferske pojave kao sto su oblaci, promjena tlaka ili pojava tornada. Turbulencija fluida vrlo je znacajan proces, pa vizualizacija pojedinih slojeva otkriva vrtloge i promjene koje nastaju pri prolasku fluida kroz mlaznicu, sto je narocito znacajno u vojnoj i avio industiji.
Prikaz pojedinih slika u ovom radu traje od jedne do pet minurta na SUN SPARCstation 10 grafickoj radnoj stanici. Paralelizacija samog postupka je moguca, tako da je ubrzanje do rada u realnom vremenu moguce. Takvo ubrzanje omogucilo bi i animaciju gibanja oko objekta, te prolazak kroz objekat sto donosi bitnu dodatnu informaciju u percepciji trodimenzionalnosti objekta.
Promatranje samog iscrtavanja objekta takodjer je interesantan proces. Ovaj proces otkriva unutrasnjost koja na staticnom rezultirajucem objektu nije vidljiva. Upotreba animacije, razlicite boje za razlicite dijelove, te prozirnosti, moze poboljsati rezultat, te korisniku omoguciti novi vizualni ulazak u prikazane objekte.

Slika 5. Trodimenzionalni prikaz motora, uz vrijednost praga 48.

Slika 6. Trodimenzionalni prikaz motora, uz vrijednost praga 180.

LITERATURA
[1] L.J. Brewster, S.S. Trivedi, H.K. Tuy, J.K. Udupa, Interactive Surgical Planning, IEEE Computer Graphics and Applications, Vol. 4, No. 3, (March 1984), 31-40.
[2] R.A. Derbin, L. Carpenter, P. Hanrahan, Volume Rendering, Computer Graphics, Vol. 22, No. 4, (August 1988), 65-74. [3] A. Kaufman, 3D Volume Visualization, Eurographics '90, Tutorial Note 12, 1990.
[4] M. Levoy, Display of Surfaces from Volume Data, IEEE Computer Graphics and Applications, Vol. 8, No. 3, (May 1988), 29-37. [5] P. Lacroute, M. Levoy, Fast Volume Rendering Using a Shear-Warp Factorization of the Viewing Transformation, Computer Graphics, Vol. 28, No 4, (July 1994) 451-458.
[6] W.E. Lorensen, H.E. Cline, Marching Cubes: A High Resolution 3D Surface Construction Algorithm, Computer Graphics, Vol. 21, No. 4, (July 1987), 163-169.
[7] Z. Mihajlovic, S. Mihajlovic, Vizualizacija 3D objekata, Zbornik radova: MTS Mikroracunala u tehnickim sustavima, MIPRO'92, Opatija, 1992, 3.144-3.149.
[8] Z. Mihajlovic, S. Mihajlovic, One Approach to the Visualization of the Three-Dimensional Fractal Objects, Zbornik radova, 37. medjunarodni godisnji skup KoREMA'92, Zagreb, 29.4.1992, 631-634.
[9] M.W. Vannier, J.L. Marsh, J.O. Worren, Three Dimensional Computer Graphics for Crania-facial Surgical Planning and Evaluation, Computer Graphics, Vol. 17, No. 3, (July 1983), 263-273.
[10] J. Wilhelms, A. Van Gelder, Topological Considerations in Isosurface Generation, Computer Graphics, Vol. 24, No. 5, (November 1990), 79-86.


Povratak